Overjet treatment in Johnson City can improve more than appearance. It can also protect the front teeth, improve bite function, and make chewing and speech noticeably easier. If your child’s dentist mentioned overjet at a recent visit, or you’ve noticed upper front teeth that stick out too far, Sturgill Orthodontics can help.
Our board-certified orthodontists treat overjet in kids, teens, and adults across Johnson City, Kingsport, Bristol, Elizabethton, and the surrounding Tri-Cities area. Depending on the cause and severity, overjet correction may involve braces, Invisalign, early orthodontic treatment, or a combination of approaches. Every new patient receives a free consultation, and same-week appointments are often available.
1,600+
Five-star Google reviews
#1
Voted best orthodontist, Johnson City Press Readers Choice
100%
Board-certified orthodontists on our entire team
Free
Consultations, same-week appointments available
So What Actually Is Overjet?
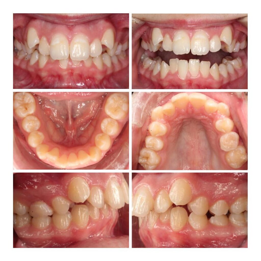
Most people know overjet by a different name: buck teeth. It’s when the upper front teeth sit noticeably forward of the lower front teeth, not just slightly, but enough to be visible and in some cases functionally problematic.
Technically, a small horizontal gap between the upper and lower front teeth is completely normal (about 2mm). Overjet is when that measurement is significantly larger. The greater the gap, the more likely it is to affect things beyond appearance, including bite function, speech, and the risk of chipping or injuring the front teeth.
How do you know if you or your child actually has it?
You don’t need a ruler. Here are some things that might look familiar:
- The upper front teeth look noticeably farther forward than the lower teeth
- The lips don’t rest together comfortably at rest
- The front teeth are partially visible even when the mouth is relaxed and closed
- Biting into things like apples, sandwiches, or crusty bread is harder than it should be
- The lower lip naturally tucks behind the upper front teeth
If two or more of those sound familiar, it’s worth getting an evaluation. Our team measures it precisely and gives you a straight answer about whether treatment is needed, what it would involve, and when the right time to start would be. If you’ve been searching for buck teeth treatment or overjet correction in Johnson City, this is the bite issue those terms describe.
Overjet vs. Overbite: They’re Not the Same Thing
A lot of parents come in having been told their child has an “overbite” when what’s actually going on is an overjet, or a combination of both. The distinction matters because they’re treated differently.
Here’s the simplest way to keep them straight: overjet is horizontal (how far the teeth stick out), and overbite is vertical (how much the upper teeth overlap the lower teeth when you bite down).
Horizontal
Overjet
Also called
Buck teeth
What it means
Upper front teeth protrude forward past the lower teeth
How it looks
Teeth visibly stick out toward the lips
Normal range
Up to ~2mm horizontal gap
Vertical
Overbite
Also called
Deep bite
What it means
Upper teeth overlap down over the lower teeth when biting
How it looks
Upper teeth cover too much of the lower teeth
Normal range
Up to ~2–4mm vertical overlap
Both fall under what orthodontists call a Class II malocclusion, which just means the bite doesn’t fit together the way it should. A lot of patients have both at the same time.
When you come in, we look at both measurements separately because treating one without accounting for the other doesn’t get you a complete result. If you’ve been told your child has an overbite, a Johnson City orthodontic evaluation can confirm whether the issue is truly an overbite, an overjet, or both.
Why Does Overjet Happen?
Most of the time it’s genetics, sometimes habits, and often both working together. It’s rarely caused by anything a parent or child did wrong.
Genetics is the most common driver. The size and position of the upper and lower jaws are largely inherited. If a parent has a prominent upper jaw or a lower jaw that didn’t grow quite as far forward, there’s a good chance their kids will show something similar.
Prolonged childhood habits can push things in the wrong direction during the years when jaws and teeth are still developing. Thumb sucking past age four or five, extended pacifier use, and tongue thrusting all apply consistent forward pressure that can shift the teeth and change how the jaw grows.
Mouth breathing affects the natural pressure balance around the teeth over time. Teeth are held in place partly by the soft-tissue pressure surrounding them, with lips on the outside and the tongue on the inside. When someone breathes through their mouth habitually, that balance is off and teeth can gradually drift forward.
Early tooth loss, meaning losing baby teeth before they’re ready, can allow surrounding teeth to shift in ways that create or worsen an overjet.
The cause matters for treatment planning. At your consultation, we look at whether the issue is mostly tooth position, jaw development, or both, because that determines the best overjet treatment approach for your situation.

Dental Overjet vs. Skeletal Overjet
Figuring out which type you’re dealing with is one of the first things we do at a consultation, because it shapes which treatments will actually work.
A dental overjet means the jaws are reasonably well proportioned, but the upper teeth are simply tipped or positioned too far forward. Braces or clear aligners can move those teeth back into the right position effectively.
A skeletal overjet means the upper jaw is genuinely positioned farther forward than the lower jaw, or the lower jaw didn’t grow forward quite enough. The teeth are just sitting where the bone puts them. In growing patients, this is where timing really matters. There’s a window where we can work with the jaw’s natural development to encourage a better relationship between the upper and lower jaws. Once growth is complete, that window closes.
Most people fall somewhere in the middle, with a bit of both. The ratio between the two is what our board-certified team establishes at your consultation, and it’s what drives the treatment recommendation we give you. This is one reason it’s worth seeing an orthodontic specialist rather than relying on a general dentist or a generic online answer about buck teeth treatment.
Does Overjet Actually Need to Be Treated?
If there’s no pain, it’s easy to wonder whether treatment is really necessary. But the reasons to address overjet go beyond how a smile looks.
Injury risk
Protruding front teeth are more exposed. For active kids in the Tri-Cities, they’re more vulnerable to chips and fractures during play and sports.
Biting and chewing
When the front teeth don’t meet properly, biting into firm foods is harder than it should be. Most patients don’t notice how much they’ve adapted until it’s corrected.
Speech
Overjet commonly interferes with F, V, S, and SH sounds. More noticeable in children, but adults notice it too — especially in professional settings.
Confidence
Kids with protruding teeth are often self-conscious about their smile. Treatment at the right time makes a real difference during the most important social years.
Long-term wear
A misaligned bite puts uneven forces on the teeth and jaw joints. Over years, that adds up to accelerated wear and increased stress on specific teeth.
When Should a Child Be Evaluated?
The American Association of Orthodontists recommends every child have a first orthodontic evaluation by age 7. Not because most 7-year-olds need treatment, they usually don’t, but because there’s enough going on by then to assess how the bite is developing and whether any issues are forming.
For overjet specifically, earlier is better if there’s a noticeable jaw component. The growth window for addressing skeletal overjet closes as kids move through their early to mid-teens. An issue caught at age 8 or 9 can sometimes be addressed with growth-based treatment that simply isn’t possible later.
If your child’s dentist has mentioned protruding teeth or an overjet, or if it’s visible to you at home, schedule a consultation. It costs nothing, and you’ll leave knowing exactly where things stand and whether timing matters for your child. Parents looking for an early orthodontic evaluation in Johnson City don’t need to wait for all permanent teeth to come in, and no referral is required.
You can learn more about why we recommend early orthodontic evaluations for kids across our Tri-Cities locations.
Does It Get Worse If You Wait?
For kids, waiting on a skeletal overjet often has a real cost. The growth window is finite, and once it closes, the jaw relationship can no longer be changed with orthodontics alone. A skeletal overjet caught at age 9 or 10 may be treatable with growth-based orthodontics, while the same issue in adulthood may require jaw surgery for full correction.
Early treatment, when it’s genuinely warranted, also tends to simplify the second phase of treatment later. Less total movement needed typically means a shorter timeline and lower overall cost.
For purely dental overjet, the timing pressure is less urgent. Braces and clear aligners work well at any age. But if self-consciousness is already affecting a child’s daily life, or if the teeth are at elevated injury risk, there’s no reason to wait.
A free consultation will tell you whether timing matters for your specific situation.
Overjet Treatment Options in Johnson City
There’s no single right answer for every patient. Treatment depends on age, severity, and whether the overjet is primarily dental, skeletal, or a mix. Here’s how we approach each scenario.
Most precise control
Metal Braces
Brackets and wires give us the most precise control over tooth movement. Metal braces are often the go-to for overjet correction because elastics (rubber bands) can apply the additional force needed to shift the jaw relationship, not just the teeth themselves.
- Best option for moderate to severe overjet correction
- Works for all ages and severity levels
- Elastics are key for shifting the jaw relationship
- Adjustment appointments every 6–8 weeks
Same results, less visible
Clear Ceramic Braces
Clear ceramic brackets work exactly like metal braces but blend with the natural tooth color. Popular with teens and adults who want effective bite correction without metal showing.
- Same clinical effectiveness as metal braces
- Brackets blend with natural tooth shade
- Great for self-conscious teens and adults
- Slightly more care needed to avoid staining
Removable clear aligners
Invisalign
Invisalign works well for mild to moderate overjet, especially when the cause is primarily dental. Sturgill Orthodontics is one of the top Invisalign providers in the Tri-Cities region and handles complex cases well beyond what most general dentists offering Invisalign can manage. If you’re weighing the options, our braces or Invisalign comparison is a good starting point.
- Nearly invisible during treatment
- Removable for eating and brushing
- Must be worn 20–22 hours per day for results
- Check-ins every 8–12 weeks
For children in the growth window
Phase 1 / Early Treatment
For younger children with a skeletal component, functional appliances used during the growth window can guide better jaw positioning. This is only possible while growth is actively happening. Once the window closes, it can’t be replicated.
- Uses the body’s own growth to correct jaw position
- Can reduce complexity of Phase 2 treatment later
- Only recommended when there’s a clear clinical case for it
- Timing is everything — window closes in early teens
Severe skeletal cases in adults
Surgical Orthodontics
For adults with a significant skeletal overjet where the jaw bones are substantially mismatched and growth is finished, surgical orthodontics may be needed for full correction. This is the exception, not the rule, and we’ll be upfront about whether it applies to you.
- Coordinated between our team and an oral surgeon
- Reserved for significant skeletal discrepancies
- Many adults are satisfied with braces or aligners alone
- We identify this clearly at your free consultation
What to Expect During Overjet Treatment
Treatment length depends on how severe the overjet is and whether the correction is primarily dental or skeletal. Beyond the timeline, here’s what the day-to-day actually looks like.
The first few days after braces are placed involve some tenderness as your mouth adjusts. Most patients describe it as manageable and temporary, more pressure than pain. After that, it settles into a rhythm of appointments every six to eight weeks where we make adjustments and check progress.
For overjet correction specifically, elastics (rubber bands) play a big role. They connect the upper and lower braces to apply the force that shifts the jaw relationship. Consistent wear is what moves this part of treatment forward efficiently. Patients who wear them as directed finish this phase faster. We’ll always be upfront about what consistent wear looks like and what it means for your timeline if that doesn’t happen.
Invisalign patients check in every 8 to 12 weeks, swapping through aligner trays on a set schedule. Wearing the trays the full 20 to 22 hours a day makes all the difference in outcomes.
One thing that’s consistent across treatment types: early on, the most important movement is happening at the bone level before it’s visible in the mirror. Most patients start seeing visible overjet improvement somewhere around the midpoint of treatment. By the time braces come off, the change in how the bite fits together tends to surprise people. They don’t realize how much they’d been working around it until it’s fixed.
At Sturgill Orthodontics, our board-certified doctors stay involved in your treatment at every appointment. You’re not passed off to a different person each time.
A Note for Adults Who’ve Been Living With This
If you’re an adult reading this for yourself, not as a parent doing research, this section is for you.
A lot of adults with overjet were told as teenagers that it wasn’t severe enough to treat, or the timing never worked out, or life just got in the way. Now it’s years later and the question is whether it’s still worth addressing.
It is. Adult overjet treatment in Johnson City is more common than most people realize. Tooth movement doesn’t have an age limit, and the outcomes are excellent. With Invisalign or clear braces, treatment is far less visible than most adults expect. About half of our patients across Johnson City, Bristol, and Norton are adults, and this is not a practice where adult patients are an afterthought.
Worth being upfront about one thing: if your overjet is significant and has a strong skeletal component, orthodontics alone in adulthood can’t change the underlying jaw relationship. Surgical orthodontics would be needed for a full skeletal correction. But many adults find that braces or aligners alone produce enough improvement that they’re genuinely happy with the result. We’ll tell you clearly at the consultation which situation you’re in, so there are no surprises.
Our adult orthodontic treatment page has more on what treatment looks like for grown-ups.
Why Choose a Board-Certified Team for Overjet Treatment?
Overjet isn’t just a cosmetic issue. It’s a bite problem that often involves the relationship between the upper and lower jaws. Evaluating it correctly, timing treatment appropriately, and executing it well requires the kind of specialized training that comes from an orthodontic residency, not a weekend continuing education course.
Every doctor at Sturgill Orthodontics is a Diplomate of the American Board of Orthodontics, a distinction that requires passing a comprehensive clinical examination beyond dental school and orthodontic residency. Only about 40% of practicing orthodontists ever achieve it. Our entire team has it. That matters for complex cases, and overjet cases with a skeletal component are complex.
Part of staying at that level is staying connected. Our doctors are part of a close network of trusted colleagues across the country — practices like Bailey-Welling Orthodontics in Utah, where we regularly share case data and talk through what’s working. That kind of ongoing peer collaboration is one of the things that keeps clinical quality sharp in ways that formal continuing education alone doesn’t.
We’ve been voted #1 in orthodontics by Johnson City Press Readers Choice Awards and have earned 1,600+ five-star Google reviews from patients across the Tri-Cities. You don’t get 1,600+ five-star reviews by accident.
What Does Overjet Treatment Cost in Johnson City?
The cost of overjet treatment in Johnson City depends on case complexity, the type of correction needed, and whether treatment happens in one phase or two.
Sturgill Orthodontics offers the lowest down payments in Johnson City, flexible monthly payment options, and a team that will help you maximize whatever insurance benefits you have. Nobody walks out of a consultation without understanding the full picture, including what treatment costs, what insurance covers, and what the monthly payment options look like.
For a detailed look at what affects orthodontic pricing in our area, our financing and insurance page is a good starting point. And since consultations are completely free, there’s no cost to just come in and find out where things stand.
Serving Johnson City and the Tri-Cities
Our Johnson City office is convenient for families throughout the Tri-Cities who want specialized orthodontic treatment for overjet, overbite, crowding, and other bite problems. Sturgill Orthodontics has three locations across the region, with offices in Johnson City, Bristol, and Norton, VA.
Families come to us from Kingsport, Elizabethton, Gray, Jonesborough, Erwin, Piney Flats, and communities throughout Washington County and Southwest Virginia.
Johnson City
Tennessee
Main Office801 Sunset Dr., Suite E5
Johnson City, TN 37604
Hours
Bristol
Tennessee
350 Blountville Hwy, Ste 206
Bristol, TN 37620
Hours
Norton
Virginia
Frequently Asked Questions About Overjet
What’s the difference between overjet and an overbite?
Overjet is a horizontal measurement describing how far the upper front teeth protrude forward past the lower teeth. Overbite is a vertical measurement describing how much the upper teeth overlap the lower teeth when you bite down. They’re different things, measured and treated differently, though many patients have some degree of both at the same time. A board-certified orthodontist evaluates both at your consultation.
At what age should overjet be treated?
It depends on the type and severity of overjet. The American Association of Orthodontists recommends a first orthodontic evaluation by age 7, and for overjet with a skeletal component, evaluating early is especially important. The window to use growth-based treatment closes in the early to mid-teen years. Overjet caused primarily by tooth position can be treated successfully at any age with braces or clear aligners.
Can Invisalign fix overjet?
Yes, in many cases. Invisalign works well for mild to moderate overjet, particularly when the cause is primarily dental rather than skeletal. For more significant overjet or cases where the jaw relationship is meaningfully off, traditional braces typically give us more precise control. Our team will assess your situation and recommend whichever approach is most likely to give you the best result.
What happens if overjet goes untreated?
Overjet doesn’t resolve on its own. In children, the main risk of waiting is losing the window for growth-based treatment. A skeletal overjet that could have been largely corrected at age 9 or 10 may require jaw surgery in adulthood to fully address. For all ages, untreated overjet increases the risk of injury to the front teeth, can affect chewing and speech, and places uneven forces on the bite over time. Early evaluation expands your options; waiting limits them.
Is overjet the same as buck teeth?
Yes. Buck teeth is the everyday term for what orthodontists call overjet, when the upper front teeth protrude significantly forward of the lower front teeth. Same condition, different terminology.
Can overjet be fixed without surgery?
In the large majority of cases, yes. Most overjet is primarily dental and responds well to braces or clear aligners. Surgical orthodontics is really only for adults with a significant skeletal discrepancy where the jaw bones themselves are substantially mismatched. We identify this clearly at the free consultation so you know what you’re working with before any decisions are made.
Does overjet affect speech?
It can. Protruding front teeth commonly interfere with sounds like F, V, S, and SH. How much it affects speech depends on severity and the individual. In children whose speech patterns are still developing, correcting the bite can lead to noticeable improvement. Adults often notice it too, particularly with sounds that require the upper teeth and lower lip to interact.
Can buck teeth be corrected with braces?
Yes. Braces are one of the most common and effective ways to correct buck teeth, especially when the upper front teeth protrude because of tooth position or bite imbalance. In more complex cases, braces may be combined with elastics or growth-based treatment for a more complete result.
How long does overjet treatment take?
Treatment time depends on the severity of the overjet, the patient’s age, and whether braces, Invisalign, or early interceptive treatment is the right approach. Mild cases may move faster, while more significant bite correction takes longer. A free consultation gives you a more accurate timeline based on your specific situation.
Does my child need a referral to be seen at Sturgill Orthodontics?
No referral needed. You can call or book online directly for a free consultation. We see patients from across the Tri-Cities, including Johnson City, Kingsport, Bristol, Elizabethton, Gray, Jonesborough, and beyond.